腹腔鏡下補助腸生検・腹腔鏡下肝生検
腹腔鏡下補助腸生検
消化管内視鏡ではおなかを開けずに組織が取れるという良い点がありますが生検鉗子により届く範囲や組織が取れる深さが限られています。腸の粘膜より深い場所に病変がある場合や内視鏡が届かないその先、つまり空腸や回腸に病変がある場合は正しい診断が得られない場合があります。
当院ではその場合は腹腔鏡を用いて腸生検を行うことで小さな傷で腸の全層生検をおこなうことができます。
当院ではその場合は腹腔鏡を用いて腸生検を行うことで小さな傷で腸の全層生検をおこなうことができます。
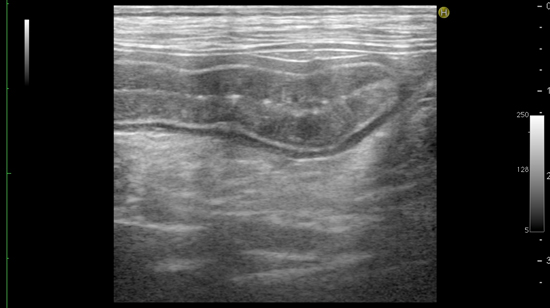
特にリンパ管拡張症は診断が見落とされがちな疾患で、超音波検査で粘膜下のリンパ管拡張の所見が得られたら腸の全層生検をおこなうことで確定診断が得られる場合があります。

超音波検査にて拡張したリンパ管を示唆する粘膜内の線状高エコー所見

腸を腹腔鏡で引っ張り出してラッププロテクターというものを切開創に装着して生検します。
腹腔鏡下肝生検
しっかりと診断して、適切な治療をさせてあげたい、
でもおなかを開けてまでの検査で負担をかけたくない、という場合に
腹腔鏡を使った生検ならば小さい傷で検査が可能です。
犬や猫でも健康診断や病気の診断のためにおこなった血液検査で肝臓の数値の異常がみつかることが少なくありません。
しかし、肝臓の数値の高い理由を探すために超音波検査、レントゲン、CT検査など画像検査をしても診断がはっきりせずに、最終的に肝臓の組織を採取しないと診断が確定しないことがあります。
そんなときには開腹手術で肝臓の組織の採取をおこなうのですが、診断のためにおなかを開けることに抵抗があったり、動物に対する負担という点でもあまり実施できないのが実情でした。
開腹せずに細胞や組織を採取する方法としてエコーガイド下で細い針やツルーカット針で生検する方法がありますが、取れる組織の量が少ないため診断に限界があります。
確定診断を下せないと適切な治療ができなくなり、病気の予後の見通しも立ちにくくなります。
でもおなかを開けてまでの検査で負担をかけたくない、という場合に
腹腔鏡を使った生検ならば小さい傷で検査が可能です。
犬や猫でも健康診断や病気の診断のためにおこなった血液検査で肝臓の数値の異常がみつかることが少なくありません。
しかし、肝臓の数値の高い理由を探すために超音波検査、レントゲン、CT検査など画像検査をしても診断がはっきりせずに、最終的に肝臓の組織を採取しないと診断が確定しないことがあります。
そんなときには開腹手術で肝臓の組織の採取をおこなうのですが、診断のためにおなかを開けることに抵抗があったり、動物に対する負担という点でもあまり実施できないのが実情でした。
開腹せずに細胞や組織を採取する方法としてエコーガイド下で細い針やツルーカット針で生検する方法がありますが、取れる組織の量が少ないため診断に限界があります。
確定診断を下せないと適切な治療ができなくなり、病気の予後の見通しも立ちにくくなります。
| 腹腔鏡下生検とは |
大きさ5㎜のトロッカーという筒を2か所ないし3か所設置し、腹腔鏡を使用して肝臓を観察しながら、複数の肝葉から組織片を採取することが可能です。
超音波ガイド下生検と比べて肝臓を肉眼的に観察することができます。
超音波ガイド下生検と比べて肝臓を肉眼的に観察することができます。
特徴
- 腹腔鏡はカメラを使って実際に見ることができます。そのため肝臓の状態を確認できますので診断の助けになります。
- ツルーカット生検よりも大きな組織片が採取できるため診断の精度が上がります。慢性肝炎の診断に特に有効です。
- 傷が小さいため、痛みが少ないことも特徴の一つです。
腹腔鏡を用いた肝生検の適応
- 理由のはっきりしない持続的な肝酵素の上昇
- 肝リピドーシス、空胞性肝障害が疑われる場合
- 銅関連性肝炎など品種特異性のある肝臓の病気が疑われる場合
- 肝臓の腫大、あるいは肝臓が小さい場合
- 治療効果の判定や病状の進行評価のため

カップ型の生検鉗子を用いて肝生検
| 腹腔鏡下肝生検のながれ |
|

3.トロッカーをカメラと生検用のポートとして設置したところです

検査後のキズです
腹腔鏡で見た実際の肝生検
●カメラで肝臓全体を観察します。
肝葉が重なって見えていない部分も鉗子を使用して、肝葉を持ち上げて観察します。
肝葉が重なって見えていない部分も鉗子を使用して、肝葉を持ち上げて観察します。
●採取する箇所を決めたら鉗子でつかみます。
●鉗子でつかんだ肝臓の組織を生検します。
代表的な犬の肝生検
| 銅蓄積性肝炎 | ベトリントンテリア |
| 銅関連性肝炎 | ドーベルマン、ラブラドールレトリバー、ウェスティ、ダルメシアン (そのほかの犬種でも最近は銅の関連した肝炎が多くみられるようになりました) |
| 慢性肝炎 | アメリカンコッカースパニエル、イングリッシュコッカ-スパニエル、イングリッシュスプリンガースパニエル |
| 空胞性肝障害 | ミニチュアシュナウザー、シェットランドシープドック |

肝臓の細胞内に銅が沈着している
(茶褐色に染まっている部分)
【銅関連性肝炎】
肝臓の細胞内に銅が蓄積して細胞がダメージを受けて壊死したり、炎症が起こる病気です。
ベドリントンテリア、ドーベルマン、ウェスト・ハイランド・ホワイト・テリア、ラブラドールレトリバー、ダルメシアンが多いですが他の犬種でもみられます。遺伝的な素因が関係していると言われていますが近年では代表的な犬種以外でも見られることから食事との関連性も疑われるようになってきました。
肝生検をして組織を採取し、ロダニン染色という銅の染色をすることで蓄積度合を評価して診断します。
治療は銅キレート剤や食事制限、炎症を抑える薬の内服でおこないます。
肝臓の細胞内に銅が蓄積して細胞がダメージを受けて壊死したり、炎症が起こる病気です。
ベドリントンテリア、ドーベルマン、ウェスト・ハイランド・ホワイト・テリア、ラブラドールレトリバー、ダルメシアンが多いですが他の犬種でもみられます。遺伝的な素因が関係していると言われていますが近年では代表的な犬種以外でも見られることから食事との関連性も疑われるようになってきました。
肝生検をして組織を採取し、ロダニン染色という銅の染色をすることで蓄積度合を評価して診断します。
治療は銅キレート剤や食事制限、炎症を抑える薬の内服でおこないます。






